Kalkaanslag Op Het Tandvlees Van Babys. Tandsteen bestaat uit mineraalzouten en afval. Wel lijkt er een verband te zijn tussen leukoplakie roken enof overmatig gebruik van alcohol. Chromogene bacteriën kunnen leiden tot grijze tanden zwarte vlekjes op de tanden of een groene tot oranjebruine laag op de rand van het tandvlees. Ook irritatie in de mondholte zoals een slecht passend kunstgebit of een beugel kan leukoplakie in de hand werken.
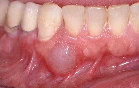
Witte vlekken op het tandvlees. Het tandvlees is gespannen rood en glanzend en er is een bobbel onder het tandvlees te voelen. Het overmatig kwijlen zou ook uitslag rond de mond kin en borst van je baby kunnen veroorzaken. Bij deze goedaardige aandoening manifesteert zich een rode glanzende afgeronde massa op het mondslijmvlies welke zeer gemakkelijk gaat bloeden en verzweren. Net zoals het bijten zorgt dit ervoor dat de druk op het tandvlees van je kindje vermindert. Slecht poetsen Door.
Veeg de binnenkant en buitenkant van het tandvlees en het.
Dé nummer 1 oorzaak van tandvleespijn bij kleine kinderen. Dit zit vast op het bot en. Leg je baby om deze aandoening te voorkomen niet in bed met een fles met flesvoeding of een zoet drankje zoals sap. Een tandvleesontsteking of gingivitis ontstaat. Niet alleen uw kunstgebit moet worden schoongemaakt maar ook het tandvlees van de kaken waar het kunstgebit op rust. Bij onvoldoende hygiëne gaat het tandvlees ontsteken.